Shingles vaccine: study note
Two licensed shingles vaccines are available in the UK: Zostavax® and Shingrix®. Zostavax® Shingrix® Live vaccine? Live attenuated vaccine Recombinant vaccine (Not live) Strain/ component Derived from the OKA/Merck strain of the Varicella Zoster Virus Contains varicella-zoster virus glycoprotein E antigen produced by recombinant DNA technology, adjuvanted with AS01B Route The vaccine is given IM or Subcutaneous, preferably in the…
Human Monkeypox
Monkeypox is an emerging disease. It was first discovered in 1958 in a captive monkey population, from which it received its name. However, monkeys are not its main reservoir. The largest natural reservoir population is rodents. The full lifecycle and the extent of the reservoir population are still unknown.Monkeypox is a zoonosis. The virus: It…
Respiratory Syncytial Virus (Presentation)
Respiratory Syncytial Virus is a single-stranded RNA virus with a negative sense, non-segmental RNA. It is an enveloped virus with many proteins, which help perform various functions like Attachment to the host cell, the fusion of host cell membranes, ion channels, viral assembly, RNA binding, transcription, phosphorylation, immune evasion etc. The virus may have a…
Lefamulin
Nature of the antibiotic Semi-synthetic, pleuromutilin class.Molecular weight – 567.79 gm/mole Pleuromutilins Pleuromutilins (produced by Pleurotus sp.), discovered in the 1950s, have a tricyclic mutilin core.Tiamulin – the first member of this group, was approved for veterinary use in 1979.Retapamulin – topical pleuromutilin was approved for human use in 2007. Mechanism of action It inhibits protein…
NTM Pulmonary Disease Guidelines
(Academic purpose only. If you need clinical advice, please speak to your doctor.) NTM Pulmonary Disease Guidelines BTS Guidelines – October 2017 | Dr Swathi Gurajala, MD, FRCPath NTM Epidemiology – Relevant Species in UK M. avium complex: 45% M. malmoense: 22% M. abscessus: 14% M. xenopi: 5% M. kansasii: 4% M. chelonae: 2.6% M….
Kingella spp.
Bacteria: Fastidious gram-negative coccobacilli that appear in pairs or short chains.Commensal of the mouth and upper respiratory tract.The genus Kingela have species like – K. kingae, K. denitrificans, Kingella negevensis, K. oralis etc. Identification: It appears as pairs/short chains of plump bacilli (or coccobacilli) with tapered ends.Capnophilic and facultatively anaerobic, nonmotile, non-spore-forming.Beta-haemolytic colonies on blood agar often produce marked pitting…
Summary of SMI: ID 21: Yersinia
Interactive Yersinia Species Identification Guide 🔬 Yersinia Species Identification Guide Comprehensive laboratory identification and characterization of Yersinia species Overview Species Laboratory Process Safety Media Summary 🦠 Genus Yersinia Overview 📊 Taxonomy Family: Enterobacteriaceae Species: 17 recognized species + 2 subspecies Type species: Yersinia pestis Pathogenic species: Y. pestis, Y. pseudotuberculosis, Y. enterocolitica 🧬 General Characteristics…
Plesiomonas shigelloides
Plesiomonas shigelloides characteristics Plesiomonas shigelloides is a gram-negative bacillus that derived its name from the ancient Greek word plēsíon, which means “near” or “neighbour”, as it was considered near or related to the bacteria Aeromonas. It is mostly found in freshwater, estuarine, or brackish water environments. It can be found in animals living in these environments,…
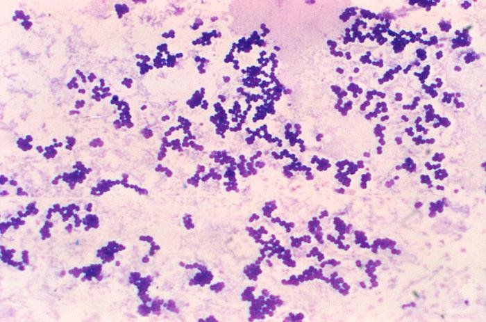
Aerococcus urinae
Aerococcus genus, a firmicute, was first identified in 1953 [Williams, 1953]. Multiple species have been identified since then; not all are human pathogens. Human pathogen Aerococcus viridans, Aerococcus urinae, Aerococcus urinae hominis,Aerococcus christensenii, (2001), Aerococcus sanguinicola. Not human pathogen Aerococcus urinae equi ( or Pediococcus urinae equi), Aerococcus suis, Aerococcus vaginalis. Laboratory identification: Aerococcus is a gram-positive coccus in clusters (like Staphylococcus), alpha-hemolytic on…